
뇌내출혈이란?
뇌내출혈은 뇌출혈 중 뇌실질(뇌의 기능성 조직) 내 출혈을 말합니다. 여러가지 원인으로 발생할 수 있지만 주로 고혈압으로 인해 출혈이 나타나 편마비를 일으킵니다. 뇌내출혈은 뇌경색보다 낮은 빈도로 발생하지만 사망률이 높고 생존 시 신경학적 장애가 심해 일상에 많은 제약을 줄 수 있습니다.
뇌내출혈은 자발적(성) 또는 외상성에 의해 발생할 수 있습니다. 자발성 뇌내출혈은 대부분 고혈압이 원인이 되어 발생합니다.
그 외에 △뇌동맥류 △뇌동정맥기형 △해면상 혈관종 △뇌종양 △출혈성 경향이 있는 전신질환 △약물복용에 의한 출혈경향 등이 뇌내출혈의 원인이 될 수 있습니다. 고혈압성 뇌내출혈은 전·중·후 대뇌동맥 및 기저동맥에서 기원한 관통동맥 파열로 인해 발생하며 출혈 부위에 따라 임상증상이 다릅니다.
치료법은?
뇌내출혈의 치료는 혈종의 외과적 제거가 우선은 아닙니다. 출혈량과 위치, 출혈이 발생한 시간, 나이, 과거병력에 따라 외과적 처치 여부와 방법이 달라질 수 있습니다. 뇌내출혈 환자는 재출혈 방지와 뇌압조절을 위해 약물치료를 받게 됩니다. 그 외에 심폐기능 원활을 위한 조절을 하게 되며 혈액응고의 문제가 있을 때 필요에 따라 혈액응고인자를 투여합니다. 소뇌출혈인 경우, 수술적응증이 되면 빠른 수술적 치료가 우선으로 여겨집니다.
소뇌출혈의 경우 뇌간을 압박해 의식 저하를 일으킬 수 있어 빠른 수술적 감압술을 시행하면 좋은 예후를 보일 수 있습니다. 재출혈 방지가 환자의 예후에 중요한 역할을 하므로 뇌출혈이 의심되는 경우 119를 통해 빨리 가까운 병원으로 이송해 치료를 받아야 합니다.
뇌내출혈의 증상은?
출혈 발생 부위와 출혈량에 따라 다양하게 나타나는 증상
두통, 현기증, 혼란에서부터 편마비, 감각이상, 의식변화까지 출혈이 발생한 부위와 출혈량에 따라 다양한 신경학적 증상이 발생할 수 있습니다.

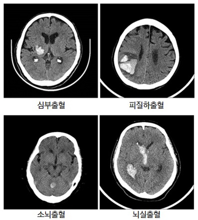
□ 심부출혈(뇌기저핵, 시상)
- 증상 : 고혈압성 뇌출혈이 호발되는 부위로 뇌내출혈의 50% 이상을 차지하며 편측 마비, 편즉 감각이상, 언어장애(우성반구시)가 발생할 수 있습니다.
□ 시상출혈
- 증상 : 뇌기저핵 출혈보다 의식저하가 심하며 통증, 경련 등보다 심한 신경학적 증상을 호소하게 됩니다.
□ 대뇌 피질하출혈
- 증상 : 주로 고령에서 발생하고 고혈압보다는 아밀로이드 혈관병증이 원인입니다.
□ 전두엽출혈
- 증상 : 드물게 발생하며 증상은 주로 행동장애와 감정장애를 보일 수 있습니다. 전-두정엽에 발생하면 양과 위치에 따라 단마비(팔 또는 다리)와 편마비 증상을 보일 수 있습니다. 두정엽 출혈 시 편측 감각 이상이 주로 보이며 언어장애도 나타날 수 있습니다.
□ 후두엽출혈
- 증상 : 마비증상은 없지만 시야장애가 생겨 보행 시 부딪히거나 넘어질 수 있습니다. 주로 좌측 측두엽에 언어중추가 있어서 출혈 시 언어장애가 발생하며 기억장애가 동반됩니다.
□ 소뇌출혈
- 증상 : 주로 고혈압이 원인인 경우가 많습니다. 심한 두통과 어지러움이 발생하며 마비증상 없이 균형감각 저하로 인한 보행장애를보일 수 있습니다. 출혈 후 급성 수두증이 발생하거나 뇌간 압박 시 짧은 시간 내에 혼수상태에 빠질 수 있습니다.
□ 뇌간출혈
- 증상 : 타 부위에 비해 출혈량에 따른 예후가 극명합니다. 대부분 발병 초기부터 혼수상태로 내원하는 경우가 많으며 예후가 나쁩니다. 소량의 출혈에 의식이 있는 경우에도 뇌간의 해부학적 위치때문에 마비, 감각이상, 뇌신경손상에 의한 증상(복시, 안진, 삼킴기능 장애 등), 호흡장애, 체온조절장애 등 심한 신경학적 증상이 발생합니다.
□ 뇌실출혈
- 증상 : 주로 뇌내출혈과 동반되어 발생합니다. 뇌실출혈만 보이는 경우 고혈압성 뇌출혈 보다는 다른 원인에 의해 출혈됐을 가능성이 높습니다. 마비 증상보다 두통, 구역, 경부강직이 나타나면 심하면 의식저하가 동반됩니다.

예방을 위한 건강한 생활습관
자기공명영상(MRI)이나 컴퓨터 단층 혈관조영술 검사(CT Angiography)로 뇌동맥류, 동정맥기형 등 출혈 원인을 발견해 치료할 수 있습니다. 하지만 뇌내출혈의 주 원인인 고혈압성 뇌출혈은 이런 검사로 출혈 위험성을 알 수 없습니다. 따라서 고혈압, 고혈당, 고지질이 있으면 의사의 처방에 따라 약물복용을 해야 하며 금연, 금주, 충분한 수면, 규칙적인 운동으로 건강한 생활습관을 가지는 것이 뇌내출혈 예방에 좋습니다.



