
오복(五福)이라는 옛말이 있습니다. 신체에 해당하는 오복에는 치아의 건강도 포함됩니다. 치아가 상했을 때의 고통이 상당하고 건강한 상태에서 음식 섭취가 가능해 전신의 건강을 유지할 수 있기 때문일 것입니다. 치아 건강을 중요하게 여기는 또 다른 이유는 치아의 한정된 개수 때문입니다. 치아는 사람에게 단 2벌만이 허락됩니다. 어릴 때 만 2세 정도까지 완성되는 유치가 있고, 만 6세에서 만 13세 가량까지 나는 영구치가 이에 해당합니다. 이후 치아는 더 이상 생기지 않으며, 망가지면 재생이 되지 않습니다. 아무리 관리를 잘 한다 하더라도 치아가 상하거나 상실되는 상황을 맞게 되는데 그 중 가장 흔한 질환이 치아우식증(충치)입니다. 오늘은 이 충치는 왜 생기며 어떠한 치료 방법이 가장 좋은지 살펴보겠습니다.

치아우식증(충치)이란?
치아는 뼈와 같이 칼슘과 인 등의 무기질과 약간의 유기질로 구성되어 있습니다. 충치의 진행을 현미경적 수준으로 보자면 치아 표면에 음식물 찌꺼기가 붙으면서 충치와 연관된 세균이 증식합니다. 이 세균들이 음식물 찌꺼기 속 당분을 이용하여 대사를 하게 되고 그 과정에서 생기는 부산물들에 의해 pH가 떨어지게 됩니다. 이때 치아의 뼈대를 유지하고 있는 무기질이 부식되어 충치가 진행됩니다.
충치는 유전적 영향도 받습니다. 만들어진 치아 자체가 세균과 산에 저항이 강하면 충치가 잘생기지 않습니다. 흔히 말하는 체질이라고도 할 수 있습니다. 하지만 개인의 위생관리는 더 중요하고 구강 건강의 초석이 될 수 있습니다. 타고난 부분이 약하더라도 위생관리가 잘 된다면 치아를 오랫동안 건강하게 사용할 수 있습니다.
섭취하는 식품도 충치와 관련이 많습니다. 당분이 많은, 점착성이 강한 음식을 많이 섭취하면 그만큼 충치의 위험이 증가합니다. 사탕과 달콤한 과자 등의 충치 발생에 대해서는 잘 알려져 있지만 청량음료와 커피믹스 등 당분이 많은 음료도 주의해야 합니다. 부정교합 등으로 치열이 고르지 못할 경우 음식물이 잘 제거되지 않는 문제가 있습니다. 어떤 원인으로든 치아 사이에 음식물이 많이 낄 경우 그 부위에 충치가 생기기 쉽습니다. 좋지 못한 보철물이나 충전물이 있을 때에도 그 부위의 충치 위험이 증가합니다.

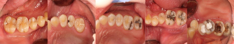
좌측의 초기부터 점점 진행되는 충치의 사례입니다. 제일 좌측은 치료받지 않고 두어도 무관한 정도이지만 가장 우측은 발치를 시행해야 하는 정도로 진행되어 있습니다. 충치는 명쾌하게 단계를 자를 수 있는 병이 아닌 점진적 진행으로 나타나므로 같은 정도의 충치라도 많은 변수를 고려해야 합니다. 의사마다 치료 방법과 방향이 다른 이유입니다. 각자의 경험과 생각하는 바, 앞으로의 예후와 환자의 조건들을 총 취합해서 평가해야 하니 같은 경우는 드물게 됩니다 .
치아우식증의 치료는 진행 단계에 따라 다르지만 원리는 비슷합니다. 치아우식증에 이환된 부위를 제거하고 그 부위를 채워 회복하며 나머지 남아있는 자기 치아 부위를 파절이나 손상으로부터 보호하는 것입니다. 충치를 치료하는데 있어서는 두 가지를 생각해야 합니다. 채워 넣는 부분의 수명과 남아있는 나머지 자신의 치아부위의 수명을 동시에 고려해야 합니다. 흔히들 채워 넣는 수복물의 수명만 많이 고려하지만, 결국 그 수복물을 유지해주는 것은 잔존 치아 부분입니다. 잔존 치아 부위에 무리를 가하는 수복물이라면 치료 수명은 오래가지 못할 것입니다.
위 두 가지를 고려해 충치치료를 ‘어떠한 재료로 할 것인지’와 ‘어떠한 방식으로 할지’가 결정됩니다. 반드시 금이 좋은 것은 아니며 반드시 아말감이나 레진이 나쁜 것은 아닙니다. 경우에 따라 어떠한 재료를 어떠한 방식으로 적용할지를 고민하여 치료가 진행되어야 합니다. 어떤 한 경우도 같은 경우는 없으니 그 중 최선을 찾아야 하는 것이지요. 그러면 상황에 따른 각각의 재료와 방식에 대해 알아보겠습니다.
충치 치료 재료의 종류별 장단점
1)레진
작은 치아우식증에 치아의 삭제를 최소화 하면서 치료할 수 있습니다. 많은 초기 충치치료에 있어서 적용할 수 있으며, 치아 색으로 예쁘게 치료해야 할 곳에 적용할 수 있습니다. 치아에 표면 처리를 해 접착하는 방식으로 다른 재료와 달리 충전재료를 위한 특별한 모양으로 충치를 삭제할 필요가 없어 치아 삭제가 좀 덜합니다. 그래서 형태가 불규칙한 충치나 모서리 부위 등에 붙일 수 있는 재료입니다. 큰 부위보다는 작은 부분을 치아의 많은 삭제 없이 때울 수 있는 좋은 재료입니다.
하지만 재료의 개선이 많이 되었다 하더라도 기본적으로 이 재료는 플라스틱입니다. 재료 자체의 물리적 성질을 본다면 다른 금속이나 도자기 등의 재질에 비해 약할 수밖에 없습니다. 충치범위가 커진다거나 힘을 많이 받는 곳에서는 파절이나 변형의 위험이 크고 많이 비벼지는 곳에서는 마모가 많이 일어납니다. 그리고 온도차이에 의해 수축, 팽창이 커서 주변부위부터 치아와 떨어지는 단점을 가지고 있습니다.
레진에도 두 가지 타입이 있는데 입안에서 직접 때우는 것과 본을 떠서 간접적으로 만들어서 붙이는 방식입니다. 간접적으로 만드는 레진의 물성이 좀더 우수하여 꼭 필요한 경우는 본을 떠서 두 번에 걸쳐 제작하면 좀더 좋은 결과를 보일 수 있습니다.

2) 아말감
재료의 나이가 100년이 넘었을 정도로 오랫동안 사용되어 왔던 재료입니다. 아말감은 은, 주석, 구리 등의 합금과 수은을 혼합하여 말랑말랑한 상태를 만들어 입안에서 충치를 제거한 부위를 충전합니다. 조성에서 보다시피 아말감은 거의 금속합금이라 할 수 있습니다. 색은 은색을 띠며 시간이 지나면 표면이 산화되어 검은색을 띄게 됩니다. 아주 오랫동안 사용되어 왔고 비용이 저렴하며 적절한 물성을 가지는 좋은 충전재입니다. 너무 크지 않은 치아우식증에 대해 처치할 수 있고 한 번 치과에 가는 것으로 충치를 치료를 할 수 있으니 그것 또한 장점입니다. 씹는 힘이 크지 않고 충치가 작은 부위에 치료한 것은 10년 이상도 문제없이 버티는 경우도 있습니다.

시간이 지난 후에도 좋은 상태를 유지하고 있는 아말감
이러한 장점은 있지만 수은에 대한 불안감과 안정성에 대한 논란이 항상 따라오게됩니다. 오랫동안 사용되면서 수은에 의한 직접적인 건강문제가 밝혀지지는 않았습니다. 굳고 나면 중금속에 해당하는 수은이 유리되어 나오지 않기에 안정성에는 큰 문제는 없는 것으로 보입니다.
그러나 환자뿐 아니라 취급자 또한 불안할 수밖에 없습니다. 오랜 기간에 걸쳐 취급하게 된다면 안전을 장담할 수만은 없을 것입니다. 요즘은 방식이 개선되어 수은의 직접적 접촉이 별로 없는 방식으로 바뀐 제품도 있지만 수은에 대해서는 항상 논란이 이어지고 있습니다. 또한 시간이 지나면서 약간 아말감의 형태가 변형되며 주변부부터 부스러지거나 중간이 파절되고 금이 가기도 합니다. 재료 자체의 수명이 긴 편은 아닙니다. 그리고 치아의 내부를 검게 변색시키는 문제를 야기할 수도 있습니다.

오래되다 보면 금이가고 주변부부터 부스러짐
3) 금
아말감과 함께 오랜 시간 사용되어 온 재료이며 여러 재료 중 재료 자체의 안정성과 수명에 있어 제일 나은 재료입니다. 금의 좋은 점은 충전물 자체의 파절이 없다는 것입니다. 주위 잔존 치아의 파절 문제나 2차 충치로 인한 수명은 문제가 될 수 있겠지만 매워 놓은 금 재료 자체가 문제가 되는 경우는 별로 없습니다.

사용되는 금은 순수한 금을 사용할 수 없습니다. 순수한 금은 너무 물러 씹는 힘에 대해 저항하거나 형태를 유지하기 힘들기 때문입니다. 하여 치과용으로 합금의 형태를 만들어 사용하는 것이 일반적입니다. 여러 가지 금속을 추가하여 치과용으로 쓰기 좋게 만드는 것이지요. 금의 함량은 많으면 3/4정도까지도 됩니다. 금이 많으면 좀더 정밀하게 만들 수 있고 적합성이 좋아지지만 경도, 강도에서 감소하게 되어 각각의 충치 경우에 맞는 금을 사용하는 것이 최선이 됩니다.
이처럼 금의 장점이 충전물 자체의 강도가 좋다는 점이므로 조금 힘을 받는 부위에 사용할 수 있습니다. 조금 큰 우식이나 치아와 치아 사이의 충치에서는 금으로 충전하는 것이 가장 믿음직합니다. 단점으로는 금의 유지를 위해 치과용 시멘트를 사용하게 되는데 이 시멘트가 시간이 지나면서 녹아서 없어져서 금 수복물이 탈락하거나 2차 충치의 발생 원인이 될 수 있습니다. 금의 유지를 위해 치아를 일정한 형태대로 삭제하여야 하여 다른 재료보다 치아 삭제가 좀더 많은 것도 단점입니다. 비용이 다소 비싼 치료 방식이며, 1회에 마무리되지 않고 2회에 걸쳐 치료가 되어야 합니다. 여러 단계를 거쳐 치료를 마무리하게 되므로 각각의 단계를 정확하게 해야만 좋은 재료의 장점을 최상으로 만들 수 있을 것입니다.
치료 방식별 장단점
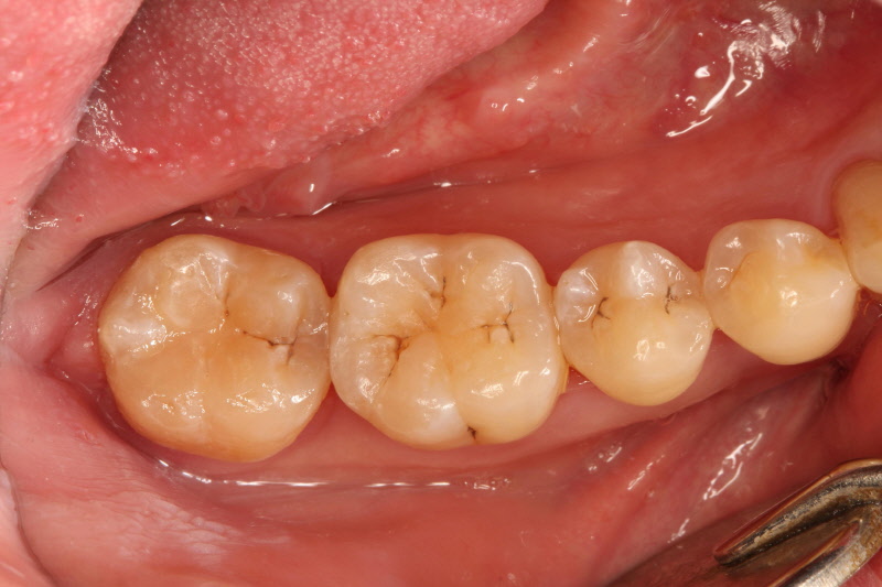
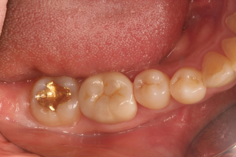
충치의 범위가 크지 않은 경우 아말감, 레진, 금 등을 이용해 충치 부위를 제거하고 그 부위를 입안에서 직접 매꾸거나 본을 떠서 만들어 붙이는 과정을 할 수 있습니다.
1) 충전과 인레이

금 인레이

레진 인레이

아말감 충전

레진 충전
2) 크라운
충치의 범위가 너무 크고 넓어 주위에 남아있는 치아의 양이 많지 않은 경우는 부득이 크라운으로(씌우는) 치료해야 합니다. 앞에서도 언급되었듯이 수복물 자체의 수명도 생각해야 하지만 주위의 남아있는 치아 수명과 안전도 같이 고려되어야 하기 때문입니다. 하지만 치아를 많이 삭제하여야 하므로 치아에 손상을 많이 가하는 방식의 치료법 입니다. 그러니 신중하게 선택되어야 할 것입니다.
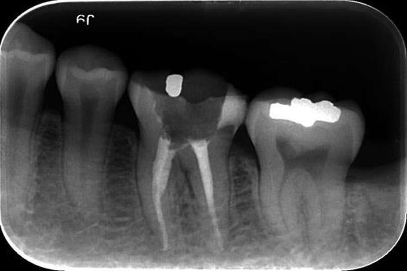
가끔은 충치가 너무 진행이 되어 신경에 문제가 되는 경우도 있는데 이런 경우는 신경치료를 먼저 시행하고 그 다음 크라운으로 치아를 보호해 주는 방식으로 치료 되어야 합니다. 크라운의 재료로는 금과 도자기를 들 수 있습니다. 금 크라운은 씹는 충격 등에 강하고 치아를 삭제하는 양을 조금 줄일 수 있으며, 향후 생기는 변화에 적응되는 능력이 뛰어납니다. 단점으로는 금색이므로 예쁜 모습이 필요한 부위에 적용할 수 없으며, 열의 전달이 빨라 씌운 후 경우에 따라 당분간 좀 더 시릴 수 있습니다. 시간이 지나면 시린 부분은 많이 감소하게 됩니다.

금을 이용한 크라운
도자기를 이용해 크라운을 할 때의 장점은 외관상 보기 좋다는 점입니다. 금에 많은 장점이 있다고 하더라도 앞쪽 이에 금을 할 수는 없는 노릇입니다. 도자기는 특성상 파절의 위험을 고려해야 하기에 좀더 두께를 부여해 치아를 더 많이 삭제해야 합니다. 그렇다 하더라도 파절의 위험은 항상 부담이 됩니다. 우리 나라의 음식들이 단단하고 질긴 것이 많아 도자기로 치료한다면 치료 후 주의가 어느 정도 필요합니다.

도자기를 이용한 크라운

필요시 신경치료를 동반하기도 한다.
이러한 여러 가지 재료와 여러 가지 방식의 충치치료 방법들이 있으나 어느 한가지만이 최고가 될 수는 없습니다. 상황에 맞게 치료 방법을 설정하고 재료를 선택하여 치료를 마무리 할 수 있도록 해야 합니다. 모든 걸 의사에게 맡기고만 있을 수도 없고 그렇다고 환자가 이러한 상황을 모두 알아 선택할 수도 없습니다. 전문가의 판단과 의견에 기초하여 환자의 상황과 바라는 점을 같이 상의하여 최종적으로 치료 방법을 결정할 수 있을 것입니다. 하지만 추구해야 하는 최고의 가치는 하나입니다. 하나밖에 없는 이를 최선으로 치료하여 그 치아의 수명을 최대한 연장하여야 한다는 것입니다.




